• Hello Visitor!
  • Log In or Register
  • Home
  • My profile
Medicine & Health
  • Home
  • About
    • About M&H
    • Aims and Scope
    • Editorial Board
    • Reviewers
  • Issues
    • Current Issue
    • Browse Archive
    • Search
  • Article In Press
  • For Authors
    • Instruction To Authors
    • Online Submission
  • For Reviewers
    • Instruction To Reviewers
  • Contact
  • Reviewer Agreement Form
  • Search issue

MEDICINE & HEALTH

About

  • Aims and Scope
  • Editorial Policies and Guidelines
  • Editorial Board

Issues

  • Current Issue
  • Browse Archive

For Authors

  • Guidelines for Authors
  • Submit manuscript
  • Keyword guideline (MeSH)
  • Guidelines for online submission

For Reviewers

  • Review Comments Form
  • Reviewer Agreement Form
  • Guide for Reviewer

Related Links

  • Universiti Kebangsaan Malaysia
  • UKM Medical Centre
  • Centre for Research and Instrumentation Management
  • Centre for Graduate Management
Home
Share |

Immunohistokimia

STAT6 in Solitary Fibrous Tumour
Article | December 30, 2019 - 4:58pm | By AMIZATUL AINI S, Nur Maya Sabrina TL, Muhamad Fakhri MS, Noraini MD, Reena Rahayu MZ
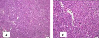
Figure 1: Images showing histologic features of solitaru fibrous tumour (A) with hypocellular and hypercellular pattern; (B) with haemangiopericytoma like vessels
Related Terms:
Immunohistochemistry
Original article
solitary fibrous tumour (SFT)
STAT6
Immunohistokimia
solitary fibrous tumor (SFT)
STAT6
Msi2 Protein Expression in AML and Cytogenetics
Article | July 26, 2019 - 1:51am | By OMAYMA SEB, NURASYIKIN , AZMA RZ, Suria AA, CHANDRAMAYA S, NORAIDAH M
Related Terms:
AML
cytogenetics
Immunohistochemistry
Msi2 protein
Original article
AML
Immunohistokimia
Msi2 protein
sitogenetik
p53 Expression in Cervical Neoplasms
Article | July 20, 2012 - 10:50am | By Tan GC, Sharifah NA, Salwati S, Shiran MS, Hatta AZ, Ng HO
Related Terms:
Cervical cancer
cervix
CIN
HPV
Immunohistochemistry
Original article
p53
CIN
HPV
Immunohistokimia
kanser serviks
p53
serviks
  • Home
  • Current Issues
  • Archive
  • For Authors
Get the main site RSS feed