• Hello Visitor!
  • Log In or Register
  • Home
  • My profile
Medicine & Health
  • Home
  • About
    • About M&H
    • Aims and Scope
    • Editorial Board
    • Reviewers
  • Issues
    • Current Issue
    • Browse Archive
    • Search
  • Article In Press
  • For Authors
    • Instruction To Authors
    • Online Submission
  • For Reviewers
    • Instruction To Reviewers
  • Contact
  • Reviewer Agreement Form
  • Search issue

MEDICINE & HEALTH

About

  • Aims and Scope
  • Editorial Policies and Guidelines
  • Editorial Board

Issues

  • Current Issue
  • Browse Archive

For Authors

  • Guidelines for Authors
  • Submit manuscript
  • Keyword guideline (MeSH)
  • Guidelines for online submission

For Reviewers

  • Review Comments Form
  • Reviewer Agreement Form
  • Guide for Reviewer

Related Links

  • Universiti Kebangsaan Malaysia
  • UKM Medical Centre
  • Centre for Research and Instrumentation Management
  • Centre for Graduate Management
Home
Share |

breast carcinoma

Immunohistochemistry in Breast Cancer Biopsy
Article | May 29, 2015 - 7:57am | By AlFatih P, Munirah MI, Ainaen M, Wenda L, Sharifa Ezzat WP, REENA RAHAYU MZ
Related Terms:
breast carcinoma
core needle biopsy
estrogen receptor
HER2
Original article
progesterone receptor
biopsi tisu jarum teras
HER2
neoplastik payudara
reseptor estrogen
reseptor progesterone
Downregulation of Bcl-2 by p53 in Breast Cancer
Article | February 4, 2013 - 10:57am | By MDZIN R, LAU TY, Rohaizak M, Sharifah NA
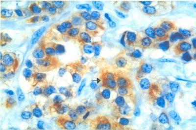
Figure 1. Histological section of IDC showed immunopositivity for Bcl-2 in the cytoplasm (magnification x400)
Related Terms:
Bcl-2
breast carcinoma
downregulation
inverse correlation
Original article
p53
Bcl-2
karsinoma payudara
korelasi songsang
p53
regulasi menurun
  • Home
  • Current Issues
  • Archive
  • For Authors
Get the main site RSS feed