Breaking News
  • Editor's Top Picked Article Vol 20(1), Jan 2025 issue
  • Important Announcement : APC
  • Editor's Top Picked Article Vol 18(2), 2023
  • Editor's recommended article Vol 18(1), 2023
Home

Main navigation

  • Home
  • About
    • About Us
    • Aim and scope
    • Editorial Board
    • Editorial Policies and Ethics
    • Fee policy
    • Browse Issues
  • Issues

    CURRENT ISSUE

    Vol. 20 No. 4 (suppl) : 2025
    BRIOWSE ISSUES

    Latest Issues

    • 14th Allied Health Scientific Conference 2025
      Issue 25 Sep, 2025
      Vol. 20 No. 4 (suppl) : 2025
    • 27th Medical & Health Research Week
      Issue 17 Sep, 2025
      Vol. 20 No. 3 (suppl) : 2025
    • Med Health 20(2), 2025
      Issue 17 Jul, 2025
      Vol. 20 No. 2 : 2025
    • The 5th International Conference Advances in Medical Science
      Issue 17 Jul, 2025
      Vol. 20 No. 2 (suppl) : 2025
    • ICPHS 2024
      Issue 03 Jul, 2025
      Vol. 20 No. 1 (suppl) : 2025
    more issues

    FEATURED

    AIMEC
    30 Dec, 2024

    Vol. 19 No. 9 (suppl) : 2024

  • For Authors
    • Guidelines for Authors
    • Keyword guideline (MeSH)
    • Submit Manuscript
  • For reviewer
    • Peer Review Process
  • Contact

Menu second

  • About
  • Issues
  • Gallery

Breadcrumb

  1. Home

Understanding Neuroleptic Malignant Syndrome: Lessons from a Near-Miss Case

Case Report 21 Jul, 2025

Mohd Sharifuddin Che Omar

  • Read more about Mohd Sharifuddin Che Omar

Chuang Jia Yun

  • Read more about Chuang Jia Yun
Silent Danger of Quetiapine Overdose Leading to Rhabdomyolysis: A Case Report
Case Report 21 Jul, 2025

Ahmad Shuhud Irfani Zakaria

  • Read more about Ahmad Shuhud Irfani Zakaria

S. Nagarajan M.P. Sockalingam

  • Read more about S. Nagarajan M.P. Sockalingam
Comprehensive Dental Rehabilitation of an Osteogenesis Imperfecta Child with Dentinogenesis Imperfecta Type 1
Case Report 21 Jul, 2025

Mohd Fadhil Ahmad Nazlan

  • Read more about Mohd Fadhil Ahmad Nazlan
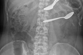
Successful Conservative Management of Multiple Spoons Ingestion in a Psychiatric Patient - An Unusual Case Report
Case Report 21 Jul, 2025

Syarifah Nafisah Syed Hamzah

  • Read more about Syarifah Nafisah Syed Hamzah

Pagination

  • First page « First
  • Previous page ‹ Previous
  • Page 1
  • Page 2
  • Page 3
  • Current page 4
  • Page 5
  • Page 6
  • Page 7
  • Page 8
  • Page 9
  • …
  • Next page Next ›
  • Last page Last »
Subscribe to

Recent Articles

  • 01
    14th Allied Health Scientific Conference 2025
  • 02
    27th Medical & Health Research Week
  • 03
    Return of Spontaneous Circulation in Traumatic Cardiac Arrest Achieved by Traumatic-Based Resuscitation – A Case Report
  • 04
    Comparison of Cumulus Cells Preparation among Diminished Ovarian Reserved and Normal Ovarian Reserved Women for RNA Extraction and Review of Literature
  • 05
    A New Era in Sports with the Emergence of Transgender-ism
  • 06
    Enhancing Nurse Empowerment Through Dynamic xMOOCs using the 4D Developmental Model

Contact info

Secretariat of Research & Innovation, Faculty of Medicine Universiti Kebangsaan Malaysia
Level 6, Preclinical Building,
Jalan Yaacob Latif,
Bandar Tun Razak,
56000 Cheras
  • Kuala Lumpur, Malaysia
  • 03-91458798
  • medhealthukm@gmail.com

Explore

  • About Us
  • Advertise
  • Terms & Conditions
  • Privacy Policy
  • Careers
  • News

Guidelines

  • Author guidelines
  • Keyword guideline (MeSH)
  • Reviewer Guidelines

Newsletter subscription

Subscribe to our newsletters. Never miss an issue or our latest news.
The subscriber's email address.
Manage existing

User login

"Start your submission journey and see your research make a greater impact."

© Copyright Medicine and Health UKM 2025. All Rights Reserved.